Vascular Procedures
Carotid-Subclavian
Aortoiliac
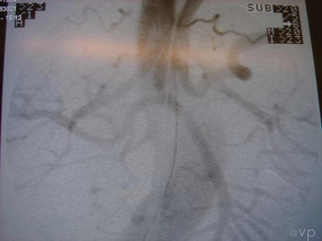
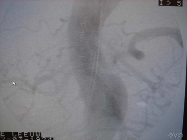
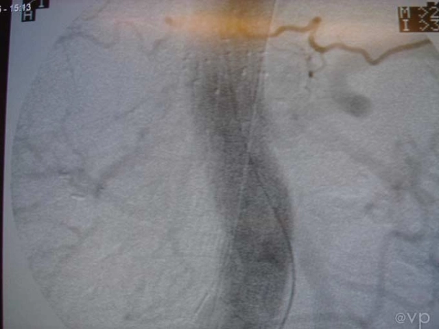
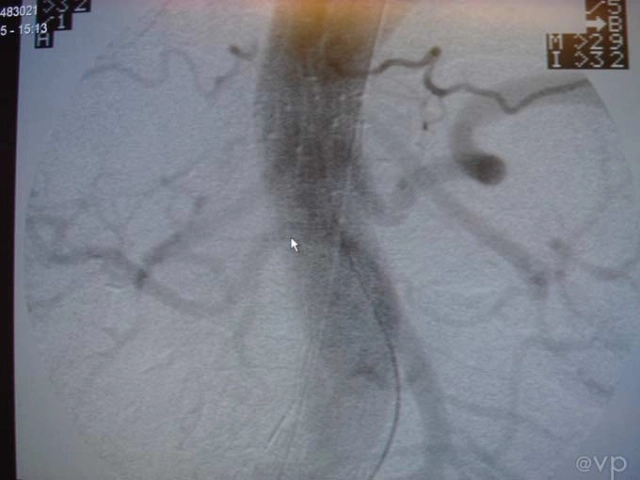
Intestinal
Bypass leg
Dialysis
Venous
Suggestions
Links
Disclaimer
Contact
Intestinal
| Hybrid